เส้นเลือดที่ปูดบริเวณหน้าอก: ปัญหาที่พบได้บ่อย สาเหตุ และแนวทางการรักษา
ศ.ดร.นพ. กิตติพันธุ์ ฤกษ์เกษม
Leg Vein Clinic Thailand
การมีเส้นเลือดปูดหรือเส้นเลือดฝอยที่เห็นชัดบริเวณหน้าอก เป็นสิ่งที่พบได้ไม่น้อย โดยเฉพาะในสุภาพสตรี แม้ว่าส่วนใหญ่จะไม่ก่ออันตรายร้ายแรง แต่ก็มักสร้างความกังวลใจและทำให้เสียความมั่นใจ เพราะหน้าอกถือเป็นจุดเด่นด้านความงามของผู้หญิง หลายคนถึงขั้นไม่กล้าใส่เสื้อเปิดไหล่หรือชุดว่ายน้ำ
รูปภาพแสดงเส้นเลือดปูดที่น่าอก
สิ่งสำคัญคือ เส้นเลือดที่หน้าอกอาจเกิดจากหลายสาเหตุ ตั้งแต่ปัจจัยปกติทางกายวิภาคปกติไปจนถึงโรคที่ค่อนข้างรุนแรง ดังนั้นการทำความเข้าใจสาเหตุและวิธีการรักษาจึงมีความจำเป็น
เส้นเลือดที่หน้าอกพบได้บ่อยแค่ไหน
ความจริงแล้ว การเห็นเส้นเลือดที่หน้าอก ไม่ใช่เรื่องแปลก ผู้หญิงที่ผิวบางหรือผิวขาวมักมองเห็นเส้นเลือดได้ชัดกว่า และในบางช่วงอายุหรือบางสภาวะ เช่น การตั้งครรภ์ การผอมลงอย่างรวดเร็ว หรือหลังผ่าตัดเสริมเต้านม ก็ยิ่งทำให้เส้นเลือดชัดขึ้น
แต่ในบางกรณี เส้นเลือดที่หน้าอกอาจเป็นสัญญาณเตือนถึง โรคหลอดเลือดดำลึกในช่องอกอุดตัน (central vein occlusion) ซึ่งเป็นภาวะทางการแพทย์ที่ต้องรักษาอย่างจริงจัง
สาเหตุของเส้นเลือดที่ปูดบริเวณหน้าอก
- โครงสร้างร่างกายและผิวหนังปกติ
ผู้ที่มีผิวขาวหรือผิวบาง จะมองเห็นเส้นเลือดได้ง่าย
คนที่ ไขมันใต้ผิวน้อย เช่น คนผอม หรือคนที่ออกกำลังกายมาก ทำให้เส้นเลือดปูดชัดขึ้น
มักไม่อันตราย แต่สร้างความรำคาญใจด้านความงาม
- เส้นเลือดฝอยและเส้นเลือดขอดที่หน้าอก
เส้นเลือดฝอยคล้ายใยแมงมุม (spider veins) และ เส้นเลือดฝอยขนาดเล็ก (telangiectasia) ทำให้เห็นเป็นเส้นเล็ก ๆ สีแดงหรือน้ำเงินบนหน้าอก
ภาพแสดงเส้นเลือเส้นเลือดปูดเขียวและเส้นเลือดฝอยที่หน้าอก
Varicose veins (เส้นเลือดขอดขนาดเล็ก) อาจคดเคี้ยวและปูดโปน แม้พบน้อยกว่าที่ขา แต่ก็สามารถเกิดขึ้นได้ที่หน้าอก ส่วนใหญ่ไม่อันตราย แต่ทำให้เสียความมั่นใจ
ภาพแสดงเส้นเลือดปูดเขียวเหมือนเส้นเลือดขอดขึ้นที่อกซ้าย
- ภาวะหลอดเลือดดำลึกในอกอุดตัน (Central Vein Occlusion)
นี่คือสาเหตุที่ ต้องให้ความสำคัญมากที่สุด เพราะถือเป็นโรคที่อาจมีผลกระทบรุนแรง เกิดจากการตีบหรืออุดตันของหลอดเลือดดำใหญ่ในอก (เช่น subclavian vein, innominate vein หรือ superior vena cava)
ภาพแสดงเส้นเลือดปูดที่อกและแขนขวา/คอบวม จากหลอดเลือดดำลึกในอกตีบตัน ในผู้ป่วยไตวายและเคยใส่สายสวนที่บริเวณอกขวา
เมื่อเลือดไม่สามารถไหลกลับหัวใจได้ตามปกติ ร่างกายจะสร้างเส้นเลือดทางเบี่ยง (collateral veins) ขึ้น ทำให้เห็นเส้นเลือดที่ปูดชัดเจนบริเวณหน้าอก ไหล่ และแขน อาจจะพบร่วมกับแขนบวมและหน้าบวม
มักสัมพันธ์กับการฟอกไตที่ต้องใส่สายสวนฟอกไต เนื้องอกกดทับในทรวงอกเช่นมะเร็งปอด หรือภาวะลิ่มเลือดอุดตัน
อาจมีอาการบวมของเต้านม ของใบหน้าและของแขนร่วมด้วย
กรณีนี้ถือว่ารุนแรง ต้องพบแพทย์ผู้เชี่ยวชาญ เช่นศัลยแพทย์หลอดเลือดทันที
- หลังการเสริมหน้าอก (Breast Augmentation)
การใส่ซิลิโคนเสริมเต้านม อาจทำให้เกิดการกดเบียดหรือเปลี่ยนแปลงของผิวหนังและเส้นเลือด
ภาพแสดงเส้นเลือดปูดที่อกหลังจากการเสริมหน้าอก
ผู้ป่วยบางรายสังเกตว่าเกิด รอยเขียวหรือเส้นเลือดฝอย บริเวณหน้าอกหลังการผ่าตัด
แม้ส่วนใหญ่ไม่อันตราย แต่สร้างความกังวลเรื่องความสวยงาม
สามารถแก้ไขด้วยการรักษาเส้นเลือดฝอย เช่น การฉีดยาหรือเลเซอร์
การวินิจฉัย
แพทย์จะซักประวัติ ตรวจร่างกาย และอาจส่งตรวจพิเศษเพิ่มเติม เช่น
การทำอัลตร้าซาวด์หลอดเลือด (Doppler ultrasound) เพื่อตรวจการไหลเวียนเลือด
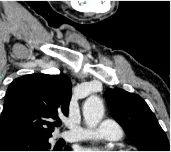
การตรวจฉีดสีหลอดเลือดดำโดยเทคนิคเอกซเรย์คอมพิวเตอร์ (CT venography) หากสงสัยหลอดเลือดดำส่วนกลางอุดตัน
ภาพแสดงการตรวจฉีดสีหลอดเลือดดำโดยเทคนิคเอกซเรย์คอมพิวเตอร์พบหลอดเลือดดำลึกในอกตีบตัน (Right innominate vein occlusion)
ตรวจสอบประวัติการผ่าตัดเสริมหน้าอกหรือการใส่สายสวนหลอดเลือด
วิธีการรักษาเส้นเลือดที่หน้าอก
- การฉีดยา Sclerotherapy
เหมาะกับ spider veins และเส้นเลือดขอดขนาดเล็ก
ภาพแสดงการฉีดยาเส้นเลือด
เป็นการฉีดสารพิเศษเข้าไปในเส้นเลือด ทำให้เส้นเลือดหดตัวและค่อย ๆ จางหาย
ปลอดภัย ทำแบบผู้ป่วยนอก ไม่ต้องนอนโรงพยาบาล
ได้ผลดีในด้านความสวยงาม
- เลเซอร์ผิวหนัง (Cutaneous Laser Therapy)
เหมาะสำหรับ เส้นเลือดฝอยเล็ก ๆ (telangiectasia)
ภาพแสดงการฉีดยาเส้นเลือด
ใช้พลังงานเลเซอร์ทำลายผนังเส้นเลือด ทำให้เส้นเลือดค่อย ๆ เลือนหายเจ็บน้อย ไม่ต้องพักฟื้น
- การรักษาภาวะหลอดเลือดดำลึกในอกอุดตัน (Central Vein Occlusion)
กรณีนี้ต้องรักษาโดยศัลยแพทย์หลอดเลือด
วิธีรักษาอาจรวมถึง
การขยายหลอดเลือดด้วยบอลลูน (Balloon angioplasty)
การใส่ขดลวด (Stent)
การผ่าตัดเปิดทางใหม่ (bypass )ในรายที่ซับซ้อน
จุดประสงค์คือ ทำให้การไหลเวียนเลือดได้ดีขึ้น และป้องกันภาวะแทรกช้อน
- หลังศัลยกรรมเสริมหน้าอก
หากเกิดเส้นเลือดฝอยหรือรอยเขียว สามารถรักษาด้วย sclerotherapy หรือเลเซอร์
แต่ต้องตรวจสอบก่อนว่าไม่ใช่ภาวะแทรกซ้อนจากซิลิโคน เช่น การกดเบียดหรือการอักเสบ
—
คำถามที่พบบ่อย (FAQ)
Q: เส้นเลือดที่หน้าอกอันตรายหรือไม่?
A: ส่วนใหญ่ไม่อันตราย มักเป็นเพียงเส้นเลือดฝอยหรือเส้นเลือดขอดเล็ก ๆ แต่ถ้ามีอาการบวมของเต้านม บวมหน้าหรือบวมที่ แขน หรือเส้นเลือดปูดจำนวนมาก ควรตรวจหาภาวะอุดตันของหลอดเลือดดำลึกในอก
Q: สามารถรักษาให้หายขาดได้ไหม?
A: เส้นเลือดฝอยและเส้นเลือดปูด สามารถรักษาให้จางหายได้ด้วยการฉีดยาหรือเลเซอร์ แต่หากเป็นหลอดเลือดดำลึกในอกอุดตัน (central vein occlusion) ต้องรักษาที่ต้นเหตุด้วยการขยายหลอดเลือดหรือใส่ขดลวด
Q: การฉีด (sclerotherapy) ปลอดภัยไหม?
A: เป็นวิธีมาตรฐานที่ใช้ทั่วโลก ปลอดภัยสูง เจ็บน้อย ทำแบบผู้ป่วยนอกได้ ผลลัพธ์เห็นชัดเจนในไม่กี่สัปดาห์
Q: หลังเสริมหน้าอกแล้วมีเส้นเลือดขึ้น ควรกังวลหรือไม่?
A: ส่วนใหญ่เป็นการเปลี่ยนแปลงของผิวหนังและเส้นเลือด ไม่อันตราย แต่ถ้ากังวลเรื่องความสวยงาม สามารถรักษาได้ด้วยการฉีดหรือเลเซอร์
สรุป
เส้นเลือดปูดที่หน้าอก เป็นภาวะที่พบได้บ่อย มีได้ตั้งแต่สาเหตุธรรมดาในภาวะปกติ เส้นเลือดฝอย ไปจนถึงภาวะที่อาจรุนแรงอย่างหลอดเลือดดำลึกในอกอุดตัน (central vein occlusion) สิ่งสำคัญคือ ไม่ควรมองข้าม ควรให้แพทย์เฉพาะทางตรวจประเมินสาเหตุที่แท้จริง
สำหรับผู้ที่กังวลด้านความสวยงาม ปัจจุบันมีวิธีรักษาที่ได้ผลและปลอดภัย เช่นการฉีดยา (sclerotherapy) และ การทำเลเซอร์ (cutaneous laser) ที่ช่วยทำให้หน้าอกกลับมาสวยงามและเรียบเนียนอีกครั้ง
