Prof. Kittipan Rerkasem
Leg Vein Clinic Thailand
Having visible or bulging veins on the chest is more common than many people think—especially among women. While most cases are harmless, they often cause worry and affect self-confidence. Because the chest is an important aesthetic area, many patients feel uncomfortable wearing open-neck clothing or swimsuits.

Images shows prominent vein over breast
It is important to understand that chest veins can arise from many causes, ranging from completely normal anatomy to more serious medical conditions. Understanding these causes helps guide proper evaluation and treatment.
How Common Are Chest Veins?
Visible veins on the chest are not unusual. People with fair or thin skin tend to see veins more clearly. Certain situations—such as pregnancy, rapid weight loss, or after breast augmentation—can also make veins more noticeable.
However, in some cases, major veins in the chest may occlude so- call “central vein occlusion”, a serious condition requiring specialist care.
Causes of Bulging Veins on the Chest
- Normal Anatomy and Thin Skin
- People with thin or fair skin naturally show veins more clearly.
- Individuals with low body fat, very fit physiques, or rapid weight loss may show more prominent veins.
This is not dangerous but may be cosmetically bothersome.
- Spider Veins and Small Varicose Veins on the Chest
Spider veins (telangiectasia) and small varicose veins can appear as fine red, blue, or greenish veins.
Varicose veins may twist and bulge. Though less common on the chest than on the legs, they can occur and usually cause cosmetic concern rather than medical danger.

Image shows spider vein in a gentleman
- Central Vein Occlusion (Serious Cause)
This is the most important condition to recognize. It occurs from narrowing or blockage of major veins in the chest (e.g., subclavian vein, innominate vein, or superior vena cava).

Image shows spider vein due to major vein in the chest obstruction
When blood cannot return to the heart normally, the body creates collateral veins—causing large bulging veins across the chest, neck, and upper arm.
Symptoms may include swelling of the breast, arm, or face.
This condition is more common in:
- Patients undergoing dialysis with catheters
- People with chest tumors such as lung cancer compressing veins
- Individuals with thrombosis in major chest veins
This condition **requires urgent evaluation by a vascular specialist**.
- After Breast Augmentation
Breast implants can stretch skin or shift tissue, making veins more visible.

Image shows prominent blue vein after breast augmentation
Some patients notice blue veins or spider veins after surgery. Most cases are harmless and treatable with sclerotherapy or laser.
Diagnosis
Doctors may perform:
- **Doppler ultrasound** to assess blood flow
- **CT venography** if deep chest vein obstruction is suspected
- Review of breast augmentation or catheter history

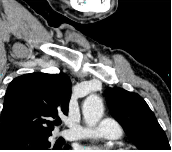
Image of CT venogram shows obstruction of the major vein in the chest
Treatment Options for Chest Veins
- Sclerotherapy
Effective for spider veins and small varicose veins.

Image shows injection sclerotherapy of the spider vein in the chest
A medical solution is injected to shrink and fade the vein.
- Safe
- Performed as outpatient
- Excellent cosmetic results
- Cutaneous Laser Therapy
Ideal for very small superficial veins.

Image shows cutaneous laser therapy
Uses laser energy to collapse the vein.
- Minimal pain
- No downtime
- Treatment of Central Vein Occlusion
Requires vascular surgery care. Options include:
- Balloon angioplasty
- Stent placement
- Surgical bypass in complex cases
The goal is to restore normal blood flow and reduce swelling.
- Post–Breast Augmentation Veins
If cosmetic veins appear after surgery, sclerotherapy or laser can help—but it is important to rule out implant-related complications first.
Frequently Asked Questions (FAQ)
Q: Are chest veins dangerous?
A: Most are harmless, but if accompanied by arm swelling, facial swelling, or multiple bulging veins, central vein occlusion must be ruled out.
Q: Can chest veins be permanently treated?
A: Spider veins and small varicose veins respond very well to sclerotherapy or laser. Deep chest vein obstruction requires treating the underlying cause.
Q: Is sclerotherapy safe?
A: Yes. It is widely used worldwide, safe, minimally painful, and gives excellent cosmetic results.
Q: Should I worry if veins appear after breast augmentation?
A: Usually they are harmless changes in skin and veins. If concerned, cosmetic treatment is possible.
Conclusion
Bulging veins on the chest can result from harmless anatomical features, spider veins, or—rarely—serious conditions like central vein occlusion. A proper evaluation is essential.
For cosmetic concerns, modern treatments such as sclerotherapy and laser therapy are safe, effective, and restore smooth, beautiful chest appearance.
